一、简介
诱导多能干细胞(induced pluripotent stem cell, iPSC)是通过外源导入重编程因子将成熟的体细胞转化产生的多能干细胞,它具有分化出多种细胞的潜能,为多种疾病模型研究提供了可能性。利用带有基因突变病人的细胞建立iPSC细胞系,并且进一步分化为多种细胞,建立疾病模型并进行致病机制研究或药物筛选等研究在国际上得到广泛应用。
皮层兴奋性神经元,在人类大脑中扮演着至关重要的角色。它们是大脑皮层的主要组成部分,负责处理复杂的认知功能,包括记忆、注意力、感知、语言和意识。皮层兴奋性神经元的活动和相互作用形成了我们理解世界、做出决策以及与环境互动的基础。此外,皮层兴奋性神经元的研究对于理解多种神经退行性疾病和精神疾病,如阿尔兹海默症、帕金森病、抑郁症和自闭症等,具有重要意义。通过深入探索皮层兴奋性神经元的工作机制和发育过程能够开发出更有效的治疗方法,以应对这些复杂的神经系统疾病。
昂朴生物提供的iPSC来源皮层兴奋性神经元,具有纯度高、稳定性好、效率高等优点。昂朴已经将40多株iPSC分化为皮层兴奋性神经元,各批次间重复性良好。其分化流程如下所示,iPSC培养到适宜状态后,只需15天就可以得到高纯度的皮层兴奋性神经元。
在不同阶段的细胞形态如下。

二、皮层兴奋性神经元鉴定和检测
细胞形态
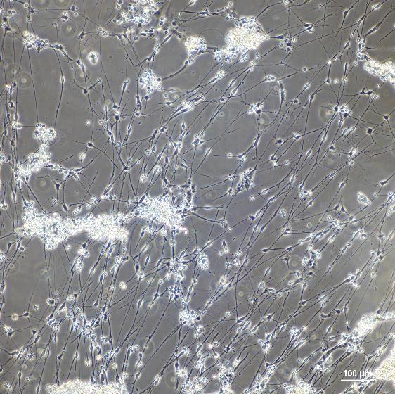
在分化的D11天,使用显微镜(Nicon ECLIPSETi2)进行观察拍照,如图所示,可看到视野中的神经元胞体饱满、边缘透亮、轴突发育健康无断裂,形成健康的神经元网络,而且基本没有杂细胞。

免疫荧光检测
神经元在D11时进行免疫荧光,标志物选择anti-TUJ1和anti-VGLUT1,结果如图。该方法所分化的兴奋性皮层神经元纯度可以达到90%左右。

电生理检测
在D4时加入SD星形胶质细胞共培养,每2-3天进行半换液,直到D40,此时光镜下观察,神经元胞体饱满、边缘透亮,神经元轴突联结,神经网络健康,且活细胞无大规模聚团;

进行电生理检测,检测诱发动作电位,如图所示,诱发动作电位阈电流值为13.33±8.16pA,诱发动作电位阈值为-42.26±1.75mV,诱发动作电位幅度为71.56±8.23mV,诱发动作电位APD50值为3.15±0.82ms,表明神经元具有良好的神经电活动。

三、应用
药物开发与筛选
药物筛选平台:iPSC分化的皮层兴奋性神经元可作为高通量药物筛选的平台,用于测试和评估各种药物对神经元的保护作用、神经毒性以及对疾病相关病理过程的影响,加速药物研发进程,降低研发成本。
个性化医疗:基于患者自身细胞的iPSC分化神经元模型,能够预测患者对特定药物的反应,为个性化医疗提供支持,实现精准治疗。
神经网络与突触功能研究
神经网络形成:通过研究iPSC分化皮层兴奋性神经元在体外的网络形成过程,了解神经元之间的连接和通信机制,以及神经网络的发育和可塑性,为神经系统疾病的治疗提供新的思路。
突触功能研究:利用电生理技术等方法,研究分化神经元的突触功能和信号传递,探索突触异常在疾病发生发展中的作用,为开发针对突触功能的治疗药物提供理论基础。
神经发育与疾病机制探索
神经发育过程:iPSC分化皮层兴奋性神经元可作为研究神经发育过程的模型,深入了解神经干细胞的增殖、分化以及神经元的成熟和功能发育等机制,为预防和治疗神经发育异常提供科学依据。
疾病易感性研究:通过比较不同个体iPSC分化神经元的特性,研究遗传背景和环境因素对神经元的影响,揭示疾病易感性的分子机制,为疾病的预防和早期干预提供线索。