昂朴hiPSC-CMs细胞该如何培养使用
收到到细胞后怎么用?
*当客户收到冻存的hiPSC-CMs细胞后,若不立即使用,则需将hiPSC-CMs细胞置于液氮中储存;若立即使用,则应按照如下流程进行hiPSC-CMs细胞复苏。
心肌细胞复苏
1 从干冰中取出待复苏的心肌细胞,迅速将冻存管的下1/2没入水浴锅中,轻柔晃动1~2分钟至冻存液融化。75%酒精擦拭细胞冻存管表面后,将其放入生物安全柜中,拧开管盖,用1mL移液器将管中液体转移至50 mL离心管中。
2 用1mL移液器吸取1 mL 20% BSA(或10%FBS)冲洗细胞冻存管,将冲洗液滴入上述50 mL离心管,边滴边晃,每滴加1滴后摇晃50 mL 离心管3~5次,重复操作,直至1 mL液体滴加结束。
3 用10mL移液管吸取10 mL 5% BSA(或5%FBS),滴入50 mL离心管,边滴边晃(缓慢滴加),每次滴加后摇晃3~5次,重复操作,直至10 mL溶液滴加结束。
4 将上述50 mL离心管放置于离心机中,300 g离心5min。
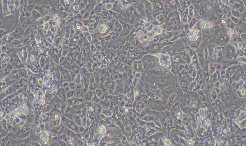
5 离心结束后,弃上清,用心肌细胞重铺培养基重悬并计数,根据计数结果将细胞接种至基质胶(基质胶工作液的推荐体积见表1)包被的细胞培养板(常规TC-treated),培养基的推荐体积见表2。建议复苏后首次重铺,按1.5~2.0E5/cm2接种,次日细胞汇合率如下图所示:
10X
心肌细胞复苏后次日形态
*注:复苏后第二天,心肌细胞实际汇合率可能高于或低于上图汇合率。只要随着培养时间的延长心肌细胞能恢复正常搏动且状态良好,即可用于后续实验研究。
6 此后每2天更换心肌细胞维持培养基(培养基的推荐体积见表2)。
表1. 不同孔板对应的基质胶工作液的体积
表2. 不同孔板对应的培养基体积

*通常复苏后培养约2~4天,心肌细胞即恢复有规律的搏动。此时则根据客户的实验目的对心肌细胞进行消化重铺,并进行后续实验。
心肌细胞重铺
1 当心肌细胞复跳后(见如下搏动视频),弃培养上清,用适量DMEM/F12清洗细胞表面一次;
2 每孔加入适量体积0.25% Trypsin-EDTA,37℃消化3~8min至细胞脱落;
3 用含10%FBS的DMEM/F12进行中和处理,300g,离心5min;
4 弃上清,用心肌细胞重铺培养基重悬并计数,根据客户的实验设计进行铺板(培养板由基质胶包被,基质胶工作液的推荐体积见表1)。
5 每2天更换心肌细胞维持培养基(培养基的推荐体积见表2)。
心肌细胞复苏后3天搏动情况
*为保证实验能够顺利推进,心肌细胞在复苏及培养的过程中有一些重要的注意事项需要告知大家,具体内容如下:
注意事项
1 细胞水浴复苏后,应用酒精均匀喷洒冻存管表面,并用无菌纸擦拭表面残留水分,以降低细胞污染的可能性;
2 冻存的细胞化冻后,应将冻存管内全部细胞取出,避免反复冻融的情况,反复冻融后则大概率会降低心肌细胞的活率及贴壁率等;
3 复苏后首次重铺,密度应不低于1.0E5/cm2,建议密度为1.5~2.0E5/cm2;
4 通常情况下可每2天换一次液,但若培养基肉眼可见非常黄,或者心肌细胞状态差且搏动不好,则需立刻
4 若客户后续要进行MEA等实验,不可直接将细胞复苏至对应的实验板中,需按照昂朴心肌复苏步骤严格执行后,待细胞复跳后再转移至对应的实验孔板,将会提高心肌细胞的活率;
5 心肌细胞接种时应按照“十字交叉混匀法”,让细胞均匀分布在孔中,避免局部密度过高或过低的情况;
6 复苏/重铺过程中,吹打心肌细胞时的力度不可过大,避免细胞因机械力而损伤;
7 培养过程中使用的培养基均应复温(恢复至室温)后再使用,另外应注意换液时,培养基应贴壁加入孔中,以免损伤细胞;
8 心肌细胞100X基质胶储液长期储存建议存放于-80℃冰箱;
9 心肌细胞基质胶配制成1X工作液后,应存放于4℃冰箱储存,有效期不超过1周;
10 心肌细胞1X基质胶工作液的孵育的时间应不低于1h,此外需注意基质胶工作液应完全覆盖孔底,避免分布不均匀的情况;
11 培养过程中应定期进行支原体的检测。
以上为昂朴hiPSC-CMs细胞在使用过程中的注意事项。
若客户在心肌细胞培养过程中发现了问题,还请及时反馈给我们。只有在实操的过程中才会积累更多的经验,并发现更多的问题,非常欢迎大家与昂朴共同探讨,助力心肌病的研究。
hiPSC-CMs配套产品:
【昂朴生物】可提供高质量的健康人iPSC来源的心肌细胞现货产品,及定制化疾病iPSC来源的心肌细胞产品。此外昂朴已建立多种心肌病疾病模型,可提供药物筛选与评价等服务,助力心肌病的机制研究和成果转化。欢迎老师咨询。